All In The Family Dental
Adam Frounfelter DDS
Home
About
Our Team
Careers at AITF
Technology
Office Pictures
Services
View All
Full Mouth Reconstruction
Cosmetic Dentistry
Same-Day Dental Crowns
All-on-X Implant-Supported Dentures
Clear Aligners
General Dentistry
Sleep Apnea
Dental Implants
Root Canal Treatment
Teeth Whitening
Dental Sedation
Free Trial Smile
Gum Lift
Dental Veneers
Smile Gallery
Patient Info
View Patient Info
Testimonials
Financial
FAQs
Blog
Contact
All In The Family Dental
Adam Frounfelter DDS
Request an Appointment
Like us on Facebook
Watch our Youtube Videos
Leave a Google Review
Instagram
Follow us on TikTok
(812) 423-6113
All In The Family Dental
1212 Lincoln Ave
Evansville, IN 47714
Patient Portal
All In The Family Dental
>
Smile Gallery
>
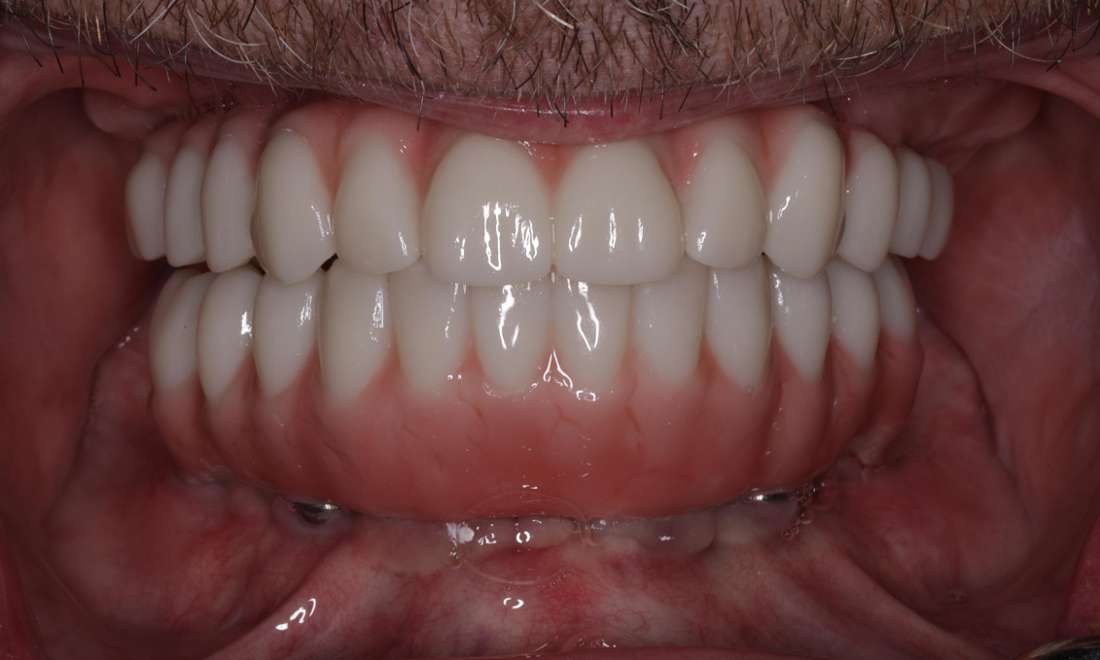
All-on-X
All-on-X
Return to Smile Gallery
Previous
Next
Related Services:
All-on-X Implant-Supported Dentures
Click image to see a larger picture
Before
After
After
Getting an appointment is
fast
and
easy
!
Get Started!
If you have difficulty using our website, please
email us
or call us at
(812) 423-6113
View the
ADA Accessibility Statement
Turn on ADA Views
OK!
×
×
Contact Us Today
Give Us A Call
All In The Family Dental -
(812) 423-6113
Send Us an Email
Book Online
Contact Us
Ready to Schedule an Appointment?
Book Online
Have Questions? Contact Us:
Required Field
Your Name:
Phone:
Email:
Are you a new patient?:
Are you a?
New Patient
Current Patient
How would you like us to contact you?
Please choose
Email
Call
How did you hear about us?
Please choose
I'm an existing patient
Google/Bing
Mailer
Word of mouth
Social media
Other
Who Referred You?:
Appointment Preferences
Monday
Tuesday
Wednesday
Thursday
Friday
Your Message:
This site is protected by reCAPTCHA and the Google
Privacy Policy
and
Terms of Service
apply.
Sending...
×
This Patient's Experience
Loading Testimonial...
Loading Case...